Hindenburg Report on Adani Places Mr. Modi in Dilemma
February 10, 2023
Tickets now on sale for Edinburgh derby
April 16, 2026
COMMONWEALTH athlete Archie Goodburn is calling on the Scottish Government to increase the standard of brain tumour care following his own diagnosis. The Edinburgh local was forced to put his...
Read moreDetailsA YOGA chain in Edinburgh has submitted plans for another studio, which would be their fifth in the city. Tribe Yoga has locations in Leith, New Town, Quartermile and Stockbridge,...
Read moreDetailsAre you tired of dealing with physical discomfort on a daily basis? While it can be frustrating to experience reduced mobility, there are solutions out there that can help make...
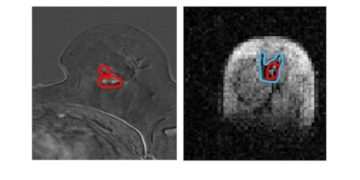
Read moreDetailsAdvanced clinic provides same-day scan and surgeon consultation SCOTLAND’s most comprehensive same-day breast implant health check service has launched at a new state-of-the-art hospital. Based at Waterfront Private Hospital in...
Read moreDetailsSCOTTISH hospitals will undergo a £1m project to assess the safety of AI usage in the healthcare industry. NHS Lothian and NHS Greater Glasgow and Clyde (NHSGGC) are partnering with...
Read moreDetailsED is a health problem that many men across the world suffer from. This issue is defined by the inability to get an erection and to keep it up. This...
Read moreDetailsTHE life expectancy gap is widening for Scots who have schizophrenia, according to research by the University of Edinburgh. Those with schizophrenia died on average 11 years earlier than those...
Read moreDetailsA SUN bear at Edinburgh Zoo is now cancer-free after defying a heartbreaking terminal diagnosis. The 13-year-old bear, Babu, was previously given just weeks to live after keepers noticed her...
Read moreDetailsCampaigners living with myalgic encephalomyelitis (ME) fear vital, long-awaited funding could be lost because of delays in allocating money to deliver specialist support projects. The 2025-26 Scottish Budget included –...
Read moreDetailsA UNIVERSITY professor has spoken out about a widespread petition to prevent the spread of Covid in hospitals. Out of the whole of the UK, residents from Edinburgh South have...
Read moreDetails